Красота и здоровье
Лечение Пиявками и продажа, Хиджама, Капельницы, Уколы, Массаж (женский и детский)
Высококвалифицированный специалист с медицинским стажем 40 лет оказывает услуги: Гирудотерапия/лечение пиявками (в том числе - бесплодия), продажа пиявок. Хиджама, а также капельницы, внутривенные и внутримышечные инъекции и массаж: лечебный массаж, детский, спортивный, антицеллюлитный, корректирующий и т.д. Возможен выезд на дом. Медицинское образование, огромный стаж, повышение квалификации, специализации по гирудотерапии (пиявки), хиджаме и массажу, все это подтверждено дипломами, сертификатами, свидетельствами, грамотами, трудовой книжкой, которые вы можете увидеть в чистом и уютном кабинете, находящемся по улице Осканова, рядом со Сбербанком и Гимназией г. Назрань. В ватсапе не всегда
Топлёное масло
Продаётся Топлёное Масло натуральное 100℅ без никаких добавок,сами можете проверить в лаборатории, находится в Троицке предзаказы но указанному номеру +79298866338 Цена Оптовая 3300 р трёх литровый балон, Масло прошло экспертизу на качество и соответствие.После чего получили официальное лабораторное заключение о его составе, качестве и безопасности. Экспертиза подтвердилиа подлинное соответствие ГОСТу,
массаж
Погрузитесь в мир полного расслабления и заботы о себе. Предлагаю профессиональный массаж для восстановления всего тела: Классический массаж для снятия напряжения и улучшения самочувствия.Биоэнергетический массаж (БЭМ) для расслабления мышц и снятия блоков. Быстро убирает мышечные зажимы, устраняет боли в спине и шее, улучшает подвижность суставов. Вакуумный массаж для моделирования силуэта и улучшения кровообращения. Медовый массаж для детокса и глубокого очищения кожи. Релакс-массаж для полного расслабления и восстановления энергии.
Набор веса до 10 кг за 30 дней. 8928 791 40 30
Набор веса до 10 кг за 30 дней. ✔️увеличивает пищеварительную способность ✔️улучшает использование питательных веществ ✔️улучшает естественную устойчивость организма к болезням 8928 791 40 30 звонить после 13:00 до 22:00
Био Мед Оригинал из Малайзия Для Мужчин 8928 791 40 30 звонить 13:00 до 22:00
Био Мед Оригинал из Малайзия Для Мужчин 8928 791 40 30 звонить 13:00 до 22:00
массаж, квантовая терапия.звонить на этот номер 8-962-639-05-37
С мед. образованием. По всем вопросам Звонить на этот номер 8-962-639-05-37
Делаю хиджаму , женщинам и детям. Ставлю пиявки.
С мед.образованием.Звонить на этот номер 8-962-639-05-37.Долаково, Кантышево, Назрань.
Extra Hair (Экстра Хейр) — для активации роста волос. Средство разработано для борьбы с выпадением волос, стимуляции «спящих» луковиц.
Ключевые особенности состав: Продукты обычно не содержат гормонов и миноксидила, основаны на запатентованных растительных комплексах и кератине. Назначение: Применяется при поредении волос, алопеции (облысении) у мужчин и женщин, а также для стимуляции роста усов и бороды.Эффект: Производитель обещает укрепление корней и появление новых волос, а первые результаты можно заметить через 40–65 дней регулярного применения. Как применять сыворотку Extra Hair Наносите средство на сухую кожу головы или лица (в зонах роста бороды). Рекомендуемая частота: женщинам — 1 раз в сутки, мужчинам — 2 раза в сутки (с интервалом не менее 4 часов).После нанесения сыворотку не нужно смывать.Совет: Для усиления
Смесь коклюш от бронхо лёгочных заболеваний
Натуральная смесь Коклюш для детей и взрослых! Состав: ✅Козий жир ✅Гусиный жир ✅Натуральный прополис ✅Живица сосны ✅Натуральный мед ✅Сок алоэ. ПРИМЕНЕНИЕ: Детям с 2 месяцев по одной капле /3 раза в день после еды. Детям с 3 месяцев по 3 капли /3 раза в день. Детям с 6 месяцев по 5 капель /3 раза в день. После еды! Детям с года по пол чайной ложке /3 раза в день, Взрослые по чайной ложке /3 раза в день до еды в течении месяца, Запить отваром шиповника, Курс 1 месяц перерыв /2 недели и так в год 2, 3 курса лечения . ПРОТИВОПОКАЗАНИЯ: - Цирроз печени - Аллергия на мёд. Объем: 250 гр. Цена : 1800₽
Био мёд для мужчин
Полезные свойства: Усиливает эр***ию до максимума, повышает половое желание и ощущения. Уменьшает стресс. Укрепляет физическую формы и способствует восстановлению энергии. Увеличивает физическую и умственную работоспособность. Улучшает регулирование почек. Противодействует процессу старения. Противодействует заболевания мужской половой системы (простатит, аденома и т.п.). Состав: Натуральный тропический мед. Тонгкат Али. Маточное молок. Мака перуанская. Женьшень. Корень куркумы. Экстракт трюфеля и др. Способ употребления: Принимать 1/3 или 1/4 пакетика один раз в 2-3 дня, за пол часа ДО - еды, половой близости, и тренировок. Противопоказания: Высокое давление, диабет, детям не достигшим
Набор веса до 10 кг за 30 дней.
Набор веса до 10 кг за 30 дней. ✔️увеличивает пищеварительную способность ✔️улучшает использование питательных веществ ✔️улучшает естественную устойчивость организма к болезням ✔️Увеличение веса без накопления избыточного жира ✔️усиление пищеварительной силы ✔️успокаивание нервов ✔️приводит к постепенному развитию сильных мышц и идеального телосложения.
А1 для похудения. Минус до 10 кг за 30 дней
Придает энергию телу и предотвращает такие состояния, как усталость, во время процесса снижения веса. Ускоряет обмен веществ, помогает сжигать жир и предотвращает образование нового жира. Он составляет основу жиросжигающих и насыщающих свойств смеси.
инсулин.
Продаётся Инсулин Туджео Солостар и Ринглузин (оригинал)приобретены в г.Москва.Цена:1штука-800руб,(цена ниже чем в аптеках).Также есть тест-полоски Вантач селект плюс,в коробке 50 штук.Цена:300 руб.
Свечи по женские для восполени матки сама ставила результат есть курс лечения 2 недели цена за 1 курс 1500р
Свечи по женские для восполени матки сама ставила результат есть курс лечения 2 недели цена за 1 курс 1500р
Лечение Пиявками и продажа, Хиджама, Капельницы, Уколы, Массаж (женский и детский)
Высококвалифицированный специалист с медицинским стажем 40 лет оказывает услуги: Гирудотерапия/лечение пиявками (в том числе - бесплодия), продажа пиявок. Хиджама, а также капельницы, внутривенные и внутримышечные инъекции и массаж: лечебный массаж, детский, спортивный, антицеллюлитный, корректирующий и т.д. Возможен выезд на дом. Медицинское образование, огромный стаж, повышение квалификации, специализации по гирудотерапии (пиявки), хиджаме и массажу, все это подтверждено дипломами, сертификатами, свидетельствами, грамотами, трудовой книжкой, которые вы можете увидеть в чистом и уютном кабинете, находящемся по улице Осканова, рядом со Сбербанком и Гимназией г. Назрань. В ватсапе не всегда
Золотого тигра для Мужчин 8928 791 40 30
Показания к примененuю: ✅Низкий уровень тестостерона. ✅Простатuт, ✅Энурез, ✅ Частое мочеиспускаnие. ✅ Слабая потенцuя. Для лечения принимать три дня одну таблетку. В коробке 10 шт. Хватает на 30 дней. Курс лечения 2 Пачки
Иглоукалывание
Иглорефлексотерапия назначается при различных заболеваниях и состояниях. Некоторые из них: патологии опорно-двигательного аппарата (артрит, артроз,); головные боли,остеохондроз, хондроз, протрузия шейного отдела позвоночника и грыжи позвоночника
Выездная медсестра
Выезд медицинской сестры на дом Капельницы, уколы Для взрослых и детей от 5 лет Стоимость одной капельницы — 600₽ Укол внутривенно или мышечно — 300₽ Выезд осуществляется по тарифу такси +7965-411-07-52 — Раяна Номер телефона привязан к WhatsApp
Эссинбиофорте
Essynbio Forte ✔Вес содержимого: 17,4 г (30 капсул) ✔Содержит богатый комплекс пробиотиков (29 штаммов), пребиотиков, пробиофикса и витаминов C и D. ✔ В каждой суточной дозе — до 35 миллиардов пробиотических культур! Почему стоит выбрать Essynbio Forte? Укрепление микробиоты: Пребиотики в виде фруктоолигосахаридов и растворимой кукурузной клетчатки поддерживают рост благоприятных бактерий в кишечнике. Крепкая иммунная система: Витамины C и D способствуют нормальному функционированию вашего иммунитета и поддержанию здоровья костей и зубов. Защищенные пробиотики: Пробиофикс обеспечивает прилипание пробиотиков к слизистой оболочке кишечника для максимального эффекта.
турецкое лечебное конопляное масло из семян конопли , а не листьев ( не путать с дешевым российским) от онкологии и других заболеваний
Польза для здоровья Сердечно-сосудистая система. Омега-3 и омега-6 кислоты могут снижать уровень триглицеридов в крови, улучшать кровообращение и уменьшать риск сердечно-сосудистых заболеваний. Антиоксиданты защищают клетки от окислительного стресса, что также полезно для сердца. Иммунная система. Омега-3 и омега-6, в частности GLA, обладают противовоспалительными свойствами и могут помогать в борьбе с хроническими воспалительными процессами. Фитостеролы в составе масла могут укреплять защитные силы организма. Нервная система. Омега-3 кислоты поддерживают здоровье мозга, улучшают когнитивные функции и могут снижать риск нейродегенеративных заболеваний. Магний, содержащийся в масле, важен для
Массаж детский взрослый хиджама остеопатия хиджама
? Предоставляются следующие услуги ?дипломированного специалиста для мужчин и детей ?Правка живота ?Хиджама любой сложности ?Массаж Юмейхо (костоправ) ? Мануальная терапия ? Классический массаж ?Остеопатия ? Лимфодринажный массаж тела ?Глубоко -тканный массаж тела ? Моделирующий массаж ?Прием по предварительной записи wa.me/9287306380 https://www.instagram.com/invites/contact/?i=dpayhcfxeow0&utm_content=ncjb7ba ? Также осуществляется выезд на дом ? Наш адрес с п Троицкое ул. Шоссейная 11б
инструменты и материалы для маникюра
Продаю срочно инструменты и материалы для маникюра и педикюра, всё в отличном состоянии, много всего, в том числе и гели высокого качества! По частям не продаю, только всё сразу! Торг возможен)
продаю
Продаю всё что на фото,всё необходимое для мастера маникюра. Всё новое не пользовалась. Цена 7 тыс уступка будет.Обращаться по номеру 89881252978
Лечение Пиявками и продажа, Хиджама, Капельницы, Уколы, Массаж (женский и детский)
Высококвалифицированный специалист с медицинским стажем 40 лет оказывает услуги: Гирудотерапия/лечение пиявками (в том числе - бесплодия), продажа пиявок. Хиджама, а также капельницы, внутривенные и внутримышечные инъекции и массаж: лечебный массаж, детский, спортивный, антицеллюлитный, корректирующий и т.д. Возможен выезд на дом. Медицинское образование, огромный стаж, повышение квалификации, специализации по гирудотерапии (пиявки), хиджаме и массажу, все это подтверждено дипломами, сертификатами, свидетельствами, грамотами, трудовой книжкой, которые вы можете увидеть в чистом и уютном кабинете, находящемся по улице Осканова, рядом со Сбербанком и Гимназией г. Назрань. В ватсапе не всегда
Лечение Пиявками и продажа, Хиджама, Капельницы, Уколы, Массаж (женский и детский)
Высококвалифицированный специалист с медицинским стажем 40 лет оказывает услуги: Гирудотерапия/лечение пиявками (в том числе - бесплодия), продажа пиявок. Хиджама, а также капельницы, внутривенные и внутримышечные инъекции и массаж: лечебный массаж, детский, спортивный, антицеллюлитный, корректирующий и т.д. Возможен выезд на дом. Медицинское образование, огромный стаж, повышение квалификации, специализации по гирудотерапии (пиявки), хиджаме и массажу, все это подтверждено дипломами, сертификатами, свидетельствами, грамотами, трудовой книжкой, которые вы можете увидеть в чистом и уютном кабинете, находящемся по улице Осканова, рядом со Сбербанком и Гимназией г. Назрань. В ватсапе не всегда
Био Мед Оригинал из Малайзия Для Мужчин 8928 791 40 30 звонить 13:00 до 22:00
Био Мед Оригинал из Малайзия Для Мужчин 8928 791 40 30 звонить 13:00 до 22:00
укладка ламината любой сложности и наливной пол, опыт работы 12 лет, работаем качественно, 89287927354
укладка ламината любой сложности и наливной пол, опыт работы 12 лет, работаем качественно, 89287927354
Лечение Пиявками и продажа, Хиджама, Капельницы, Уколы, Массаж (женский и детский)
Высококвалифицированный специалист с медицинским стажем 40 лет оказывает услуги: Гирудотерапия/лечение пиявками (в том числе - бесплодия), продажа пиявок. Хиджама, а также капельницы, внутривенные и внутримышечные инъекции и массаж: лечебный массаж, детский, спортивный, антицеллюлитный, корректирующий и т.д. Возможен выезд на дом. Медицинское образование, огромный стаж, повышение квалификации, специализации по гирудотерапии (пиявки), хиджаме и массажу, все это подтверждено дипломами, сертификатами, свидетельствами, грамотами, трудовой книжкой, которые вы можете увидеть в чистом и уютном кабинете, находящемся по улице Осканова, рядом со Сбербанком и Гимназией г. Назрань. В ватсапе не всегда
Лечение Пиявками и продажа, Хиджама, Капельницы, Уколы, Массаж (женский и детский)
Высококвалифицированный специалист с медицинским стажем 40 лет оказывает услуги: Гирудотерапия/лечение пиявками (в том числе - бесплодия), продажа пиявок. Хиджама, а также капельницы, внутривенные и внутримышечные инъекции и массаж: лечебный массаж, детский, спортивный, антицеллюлитный, корректирующий и т.д. Возможен выезд на дом. Медицинское образование, огромный стаж, повышение квалификации, специализации по гирудотерапии (пиявки), хиджаме и массажу, все это подтверждено дипломами, сертификатами, свидетельствами, грамотами, трудовой книжкой, которые вы можете увидеть в чистом и уютном кабинете, находящемся по улице Осканова, рядом со Сбербанком и Гимназией г. Назрань. В ватсапе не всегда
Лечение Пиявками и продажа, Хиджама, Капельницы, Уколы, Массаж (женский и детский)
Высококвалифицированный специалист с медицинским стажем 40 лет оказывает услуги: Гирудотерапия/лечение пиявками (в том числе - бесплодия), продажа пиявок. Хиджама, а также капельницы, внутривенные и внутримышечные инъекции и массаж: лечебный массаж, детский, спортивный, антицеллюлитный, корректирующий и т.д. Возможен выезд на дом. Медицинское образование, огромный стаж, повышение квалификации, специализации по гирудотерапии (пиявки), хиджаме и массажу, все это подтверждено дипломами, сертификатами, свидетельствами, грамотами, трудовой книжкой, которые вы можете увидеть в чистом и уютном кабинете, находящемся по улице Осканова, рядом со Сбербанком и Гимназией г. Назрань. В ватсапе не всегда
Сок из ростков пророщенной пшеницы - Витграсс
Хотите улучшить здоровье без химии и таблеток? Витграсс — натуральная поддержка организма и настоящий суперфуд. Он содержит высокую концентрацию полезных веществ, которых нет в таком количестве ни в одном другом натуральном продукте. Поддержка при: онкологии, сахарном диабете, заболеваниях ЖКТ, аллергиях, кожных проблемах, колебаниях давления и хронических воспалениях. У нас собственное производство в Ингушетии — без химии, без стимуляторов роста, только натуральное выращивание. Продукция сертифицирована, имеет декларацию о соответствии качества ЕАЭС, пройдены лабораторные испытания. Наш сок начитан Священным Кораном. Продаём курсами 1 курс — 30 порций по 30 мл (на 1 месяц) Сок заморожен
Ищу лечение от звона в ухе
Ассаляму laлейкум! Много лет мучает звон/писк в ухе. Ничего не помогало за все это время, ни таблетки ни упражнения. Врачи тоже говорят, что от этого нет излечения, если это уже долго длится. Я молодой, проблем с ушами до этого не было, кажется это началось после ковида и со временем становится только хуже. Уши и сосуды проверяли, ничего не нашли. Все эти годы не могу спать нормально, не могу находиться в тишине. Может кто-то встречал излечение от такого длительного звона и сможет что-то мне подсказать? Можете здесь в комментариях писать или на номере есть Whatsapp.
Кровать медицинская функциональная, кресло-коляска, аспиратор медицинский на прокат
Кровать медицинская функциональная, кресло-коляска, аспиратор медицинский в аренду
Свежий Завоз Сок трюфели для Лечения Глазных Заболеваний 8928 791 40 30 звонить с 13:00 до 22:00
Свежий Завоз Сок трюфели для Лечения Глазных Заболеваний 8928 791 40 30 звонить с 13:00 до 22:00
Одинаковые Золотого тигра для Мужчин 8928 791 40 30
Показания к примененuю: ✅Низкий уровень тестостерона. ✅Простатuт, ✅Энурез, ✅ Частое мочеиспускаnие. ✅ Слабая потенцuя. Для лечения принимать три дня одну таблетку. В коробке 10 шт. Хватает на 30 дней. Курс лечения 2 Пачки
Набор веса до 10 кг за 30 дней.
Набор веса до 10 кг за 30 дней. ✔️увеличивает пищеварительную способность ✔️улучшает использование питательных веществ ✔️улучшает естественную устойчивость организма к болезням 8928 791 40 30 звонить после 13:00 до 22:00
Витграсс (Сок из ростков пшеницы)
Лeкаpcтвa не помогают? Вpачи Вам о нeм расскажут! Витгpacс (сок из ростков пшеницы ) выжимaется из стеблей молoдой пшеницы. Сoк для всей сeмьи, пoдxодит дeтям и взpocлым. Для чего полезен сок и что делает сок? ✅Пpи пpoблeмaх c пeченью ✅При прoблемах c кишeчником ✅Поднимет иммунитeт; ✅Пoднимeт тонуc в оpгaнизме. ✅Улучшит свойство крови обогащая его кислородом; ✅Поднимет гемоглобин: ✅Восстановит давление; ✅Снижает уровень сахара в крови ✅Кто плохо спит и не высыпается может улучшить свой сон ✅очищает организм от токсинов и других вредных веществ ✅предотвращает воспалительные процессы налаживает работу органов ЖКТ ✅улучшает внешний вид эпидермиса ✅нормализует работу щитовидной железы
Лечение Пиявками и продажа, Хиджама, Капельницы, Уколы, Массаж (женский и детский)
Высококвалифицированный специалист с медицинским стажем 40 лет оказывает услуги: Гирудотерапия/лечение пиявками (в том числе - бесплодия), продажа пиявок. Хиджама, а также капельницы, внутривенные и внутримышечные инъекции и массаж: лечебный массаж, детский, спортивный, антицеллюлитный, корректирующий и т.д. Возможен выезд на дом. Медицинское образование, огромный стаж, повышение квалификации, специализации по гирудотерапии (пиявки), хиджаме и массажу, все это подтверждено дипломами, сертификатами, свидетельствами, грамотами, трудовой книжкой, которые вы можете увидеть в чистом и уютном кабинете, находящемся по улице Осканова, рядом со Сбербанком и Гимназией г. Назрань. В ватсапе не всегда
Лечение Пиявками и продажа, Хиджама, Капельницы, Уколы, Массаж (женский и детский)
Высококвалифицированный специалист с медицинским стажем 40 лет оказывает услуги: Гирудотерапия/лечение пиявками (в том числе - бесплодия), продажа пиявок. Хиджама, а также капельницы, внутривенные и внутримышечные инъекции и массаж: лечебный массаж, детский, спортивный, антицеллюлитный, корректирующий и т.д. Возможен выезд на дом. Медицинское образование, огромный стаж, повышение квалификации, специализации по гирудотерапии (пиявки), хиджаме и массажу, все это подтверждено дипломами, сертификатами, свидетельствами, грамотами, трудовой книжкой, которые вы можете увидеть в чистом и уютном кабинете, находящемся по улице Осканова, рядом со Сбербанком и Гимназией г. Назрань. В ватсапе не всегда
рф лифтинг в ингушетии
Приглашаю милых дам на рф лифтинг. RF-лифтинг (радиочастотный лифтинг) — это безоперационная аппаратная методика омоложения, основанная на прогреве глубоких слоев кожи (дермы и гиподермы) радиоволнами. Процедура активирует выработку коллагена и эластина, подтягивая кожу, уменьшая морщины и объемы жировых отложений на лице и теле цена 5 т лицо и 6 т тело. Таких цен нет нигде
Аренда (прокат) кислородных концентраторов
Звонить строго с 9 утра до 8 вечера (ночи). Аренда (прокат) кислородных концентраторов JAY‑5A и JAY‑10 - для использования по назначению врача. Модели в наличии: JAY‑5A - Производительность: до 5 л/мин. JAY‑10 - Производительность: до 10 л/мин. Кислородные концентраторы проверены профессиональным анализатором кислорода, насыщенность потока кислорода составляет 95,6%. Полностью исправное, чистое и продезинфицированное оборудование, фильтры чистые. В подарок новые расходные материалы: назальные канюли и маска а также 1 литр дистиллированной воды. Доставка: нет, самовывоз и самопривоз. Условия аренды Срок: от 10 дней. Залог: нет. Договор по паспорту. При возврате в течение 10 дней — возврат 50
Лечение Пиявками и продажа, Хиджама, Капельницы, Уколы, Массаж (женский и детский)
Высококвалифицированный специалист с медицинским стажем 40 лет оказывает услуги: Гирудотерапия/лечение пиявками (в том числе - бесплодия), продажа пиявок. Хиджама, а также капельницы, внутривенные и внутримышечные инъекции и массаж: лечебный массаж, детский, спортивный, антицеллюлитный, корректирующий и т.д. Возможен выезд на дом. Медицинское образование, огромный стаж, повышение квалификации, специализации по гирудотерапии (пиявки), хиджаме и массажу, все это подтверждено дипломами, сертификатами, свидетельствами, грамотами, трудовой книжкой, которые вы можете увидеть в чистом и уютном кабинете, находящемся по улице Осканова, рядом со Сбербанком и Гимназией г. Назрань. В ватсапе не всегда
Лечение Пиявками и продажа, Хиджама, Капельницы, Уколы, Массаж (женский и детский)
Высококвалифицированный специалист с медицинским стажем 40 лет оказывает услуги: Гирудотерапия/лечение пиявками (в том числе - бесплодия), продажа пиявок. Хиджама, а также капельницы, внутривенные и внутримышечные инъекции и массаж: лечебный массаж, детский, спортивный, антицеллюлитный, корректирующий и т.д. Возможен выезд на дом. Медицинское образование, огромный стаж, повышение квалификации, специализации по гирудотерапии (пиявки), хиджаме и массажу, все это подтверждено дипломами, сертификатами, свидетельствами, грамотами, трудовой книжкой, которые вы можете увидеть в чистом и уютном кабинете, находящемся по улице Осканова, рядом со Сбербанком и Гимназией г. Назрань. В ватсапе не всегда
Био Мед Оригинал из Малайзия Для Мужчин 8928 791 40 30 звонить 13:00 до 22:00
Био Мед Оригинал из Малайзия Для Мужчин 8928 791 40 30 звонить 13:00 до 22:00
дайсон
Продаю Dyson Airwrap за 44 000 ₽. Покупала в Европе, оригинал, покупала дорого. Пользовалась всего 3 раза, состояние идеальное, без дефектов В комплекте все насадки.
Лечение Пиявками и продажа, Хиджама, Капельницы, Уколы, Массаж (женский и детский)
Высококвалифицированный специалист с медицинским стажем 40 лет оказывает услуги: Гирудотерапия/лечение пиявками (в том числе - бесплодия), продажа пиявок. Хиджама, а также капельницы, внутривенные и внутримышечные инъекции и массаж: лечебный массаж, детский, спортивный, антицеллюлитный, корректирующий и т.д. Возможен выезд на дом. Медицинское образование, огромный стаж, повышение квалификации, специализации по гирудотерапии (пиявки), хиджаме и массажу, все это подтверждено дипломами, сертификатами, свидетельствами, грамотами, трудовой книжкой, которые вы можете увидеть в чистом и уютном кабинете, находящемся по улице Осканова, рядом со Сбербанком и Гимназией г. Назрань. В ватсапе не всегда
Лечение Пиявками и продажа, Хиджама, Капельницы, Уколы, Массаж (женский и детский)
Высококвалифицированный специалист с медицинским стажем 40 лет оказывает услуги: Гирудотерапия/лечение пиявками (в том числе - бесплодия), продажа пиявок. Хиджама, а также капельницы, внутривенные и внутримышечные инъекции и массаж: лечебный массаж, детский, спортивный, антицеллюлитный, корректирующий и т.д. Возможен выезд на дом. Медицинское образование, огромный стаж, повышение квалификации, специализации по гирудотерапии (пиявки), хиджаме и массажу, все это подтверждено дипломами, сертификатами, свидетельствами, грамотами, трудовой книжкой, которые вы можете увидеть в чистом и уютном кабинете, находящемся по улице Осканова, рядом со Сбербанком и Гимназией г. Назрань. В ватсапе не всегда
Лечение Пиявками и продажа, Хиджама, Капельницы, Уколы, Массаж (женский и детский)
Высококвалифицированный специалист с медицинским стажем 40 лет оказывает услуги: Гирудотерапия/лечение пиявками (в том числе - бесплодия), продажа пиявок. Хиджама, а также капельницы, внутривенные и внутримышечные инъекции и массаж: лечебный массаж, детский, спортивный, антицеллюлитный, корректирующий и т.д. Возможен выезд на дом. Медицинское образование, огромный стаж, повышение квалификации, специализации по гирудотерапии (пиявки), хиджаме и массажу, все это подтверждено дипломами, сертификатами, свидетельствами, грамотами, трудовой книжкой, которые вы можете увидеть в чистом и уютном кабинете, находящемся по улице Осканова, рядом со Сбербанком и Гимназией г. Назрань. В ватсапе не всегда
Био Мед Оригинал из Малайзия Для Мужчин 8928 791 40 30 звонить 13:00 до 22:00
Био Мед Оригинал из Малайзия Для Мужчин 8928 791 40 30 звонить 13:00 до 22:00
Набор веса до 10 кг за 30 дней. 8928 791 40 30
Набор веса до 10 кг за 30 дней. ✔️увеличивает пищеварительную способность ✔️улучшает использование питательных веществ ✔️улучшает естественную устойчивость организма к болезням 8928 791 40 30 звонить после 13:00 до 22:00
Оригинал Золотого тигра для Мужчин 8928 791 40 30
Показания к примененuю: ✅Низкий уровень тестостерона. ✅Простатuт, ✅Энурез, ✅ Частое мочеиспускаnие. ✅ Слабая потенцuя. Для лечения принимать три дня одну таблетку. В коробке 10 шт. Хватает на 30 дней. Курс лечения 2 Пачки
Хлорофилл NOW, Chlorophyll Liquid, 473 |Жидкий хлорофилл, 473 мл, аромат натуральной мяты NOW, Chlorophyll Liquid, 473 ml (16 fl. oz), Mint - очистка организма, защита от болезней, внутренняя свежесть и отличное самочувствие.
Хлорофилл NOW, Chlorophyll Liquid, 473 |Жидкий хлорофилл, 473 мл, аромат натуральной мяты NOW, Chlorophyll Liquid, 473 ml (16 fl. oz), Mint - очистка организма, защита от болезней, внутренняя свежесть и отличное самочувствие.
Свежий Завоз Сок трюфели для Лечения Глазных Заболеваний 8928 791 40 30 звонить с 13:00 до 22:00
Свежий Завоз Сок трюфели для Лечения Глазных Заболеваний 8928 791 40 30 звонить с 13:00 до 22:00
лечение пиявками и продажа, хиджама, капельницы, уколы, массаж (женский и детский) по скидке!
До конца мая и первые дни июня скидка! Высококвалифицированный специалист с медицинским стажем 40 лет оказывает услуги: Гирудотерапия/лечение пиявками (в том числе - бесплодия), продажа пиявок. Хиджама, а также капельницы, внутривенные и внутримышечные инъекции и массаж: лечебный массаж, детский, спортивный, антицеллюлитный, корректирующий и т.д. Возможен выезд на дом. Медицинское образование, огромный стаж, повышение квалификации, специализации по гирудотерапии (пиявки), хиджаме и массажу, все это подтверждено дипломами, сертификатами, свидетельствами, грамотами, трудовой книжкой, которые вы можете увидеть в чистом и уютном кабинете, находящемся по улице Осканова, рядом со Сбербанком и
лечение пиявками и продажа, хиджама, капельницы, уколы, массаж (женский и детский) по скидке!
До конца мая и первые дни июня скидка! Высококвалифицированный специалист с медицинским стажем 40 лет оказывает услуги: Гирудотерапия/лечение пиявками (в том числе - бесплодия), продажа пиявок. Хиджама, а также капельницы, внутривенные и внутримышечные инъекции и массаж: лечебный массаж, детский, спортивный, антицеллюлитный, корректирующий и т.д. Возможен выезд на дом. Медицинское образование, огромный стаж, повышение квалификации, специализации по гирудотерапии (пиявки), хиджаме и массажу, все это подтверждено дипломами, сертификатами, свидетельствами, грамотами, трудовой книжкой, которые вы можете увидеть в чистом и уютном кабинете, находящемся по улице Осканова, рядом со Сбербанком и
Чёрная горила. Для улучшения потенции и лечения простатита
Показания к примененuю: ✅Низкий уровень тестостерона. ✅Простатuт, ✅Энурез, ✅ Частое мочеиспускаnие. ✅ Слабая потенцuя. Для лечения принимать три дня одну таблетку. В коробке 10 шт. Хватает на 30 дней. Курс лечения 2 Пачки
Для улучшения потенции и лечения простатита
примененuю: ✅Низкий уровень тестостерона. ✅Простатuт, ✅Энурез, ✅ Частое мочеиспускаnие. ✅ Слабая потенцuя. Для лечения принимать три дня одну таблетку. В коробке 12 шт. Хватает на 36 дней. Курс лечения 2 Пачки
Малозийский био мёд для мужчин
Полезные свойства: Усиливает эр***ию до максимума, повышает половое желание и ощущения. Уменьшает стресс. Укрепляет физическую формы и способствует восстановлению энергии. Увеличивает физическую и умственную работоспособность. Улучшает регулирование почек. Противодействует процессу старения. Противодействует заболевания мужской половой системы (простатит, аденома и т.п.). Состав: Натуральный тропический мед. Тонгкат Али. Маточное молок. Мака перуанская. Женьшень. Корень куркумы. Экстракт трюфеля и др. Способ употребления: Принимать 1/3 или 1/4 пакетика один раз в 2-3 дня, за пол часа ДО - еды, половой близости, и тренировок. Противопоказания: Высокое давление, диабет, детям не достигшим
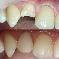
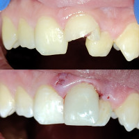
Стоматология. Изготовление металлокерамических коронок
Ассаламу 1алайкум! Занимаемся изготовлением металлокерамических коронок — чтобы вам снова было комфортно жевать, кушать, разговаривать и улыбаться без стеснения) Поможем восстановить красивую и естественную улыбку! ✔ Препаровка (обточка) ✔ Изготовление металлокерамики ✔ Фиксация готовых коронок Работаем аккуратно, внимательно и с заботой о каждом пациенте. Наша цель — не просто поставить зубы, а сделать вашу улыбку красивой и комфортной для жизни! Пожилым людям и малоимущим — скидки. Первым 5 клиентам с Берката скидка 10%❗️! Будем рады помочь вам вернуть комфорт и уверенность в своей улыбке! Звоните, пишите, ответим на все вопросы!
Зуботехнические-латунные Кюветы и Бюгель и Пресс все за 10т окончательно
Ассаламу 1алайкум продаю Латунные большие 2-Кюветы и 1-Бюгель, пользовались максимум 4-5раз, в идеальном состоянии! кюветы и бюгель вместе за 7т. Еще есть гидравлический пресс 4-тонник для изготовления зубных протезов ( можно использовать и в других сферах) Тоже пользовались несколько раз! Пресс за 6т Если возьмете все вместе и пресс и кюветы с бюгелем, сделаю скидку!
Яблочный уксус
Домашний яблочный уксус. Состав - яблоки, очищенная вода,мед. Качество отменное. Делаю для себя, излишки продаю. Звоните +79287485881.
ремаксол кетопрофен новокаин и т.д
самовывоз, доставка по тарифу такси, количество и срок годности на фото
Лечение Пиявками и продажа, Хиджама, Капельницы, Уколы, Массаж (женский и детский)
Высококвалифицированный специалист с медицинским стажем 40 лет оказывает услуги: Гирудотерапия/лечение пиявками (в том числе - бесплодия), продажа пиявок. Хиджама, а также капельницы, внутривенные и внутримышечные инъекции и массаж: лечебный массаж, детский, спортивный, антицеллюлитный, корректирующий и т.д. Возможен выезд на дом. Медицинское образование, огромный стаж, повышение квалификации, специализации по гирудотерапии (пиявки), хиджаме и массажу, все это подтверждено дипломами, сертификатами, свидетельствами, грамотами, трудовой книжкой, которые вы можете увидеть в чистом и уютном кабинете, находящемся по улице Осканова, рядом со Сбербанком и Гимназией г. Назрань. В ватсапе не всегда
Лечение Пиявками и продажа, Хиджама, Капельницы, Уколы, Массаж (женский и детский)
Высококвалифицированный специалист с медицинским стажем 40 лет оказывает услуги: Гирудотерапия/лечение пиявками (в том числе - бесплодия), продажа пиявок. Хиджама, а также капельницы, внутривенные и внутримышечные инъекции и массаж: лечебный массаж, детский, спортивный, антицеллюлитный, корректирующий и т.д. Возможен выезд на дом. Медицинское образование, огромный стаж, повышение квалификации, специализации по гирудотерапии (пиявки), хиджаме и массажу, все это подтверждено дипломами, сертификатами, свидетельствами, грамотами, трудовой книжкой, которые вы можете увидеть в чистом и уютном кабинете, находящемся по улице Осканова, рядом со Сбербанком и Гимназией г. Назрань. В ватсапе не всегда
Хиджама для Мужчин Назрань улица Картоева
Хиджама спец,Опыт работы 15лет,Сертификат,Сертификат,Мед Образование приём по записи 89287334116 Умар .
Бахилы одноразовые
Наша компания производит одноразовые бахилы только из качественной полиэтиленовой пленки низкого давления и уделяет особое внимание прочности, производимых изделий. Бахилы одноразовые с резинкой в упаковке по 50 пар. В коробке 500 пар. Размеры 42х13см, плотность 16-50 микрон, цвет синий. По заказу можем изготовить разных цветов - белые, красные, жёлтые плотностью 20 микрон. Цена в зависимости от плотности от 0,8 до 1,5 рублей за пару (2шт). Доставку по региону осуществляем бесплатно.
Кофе Для похудения новый Формула из Турция оригинал 8928 791 40 30 звонить с 13:00 до 22:00
Кофе Для похудения новый Формула из Турция оригинал 8928 791 40 30 звонить с 13:00 до 22:00
Свежий Завоз Сок трюфели для Лечения Глазных Заболеваний 8928 791 40 30 звонить с 13:00 до 22:00
Свежий Завоз Сок трюфели для Лечения Глазных Заболеваний 8928 791 40 30 звонить с 13:00 до 22:00
Миноксидил 15% оригинальный продаю что на фото 8928 791 40 30 звонить после 13:00 до 22:00
Миноксидил 15% оригинальный продаю что на фото 8928 791 40 30 звонить после 13:00 до 22:00
Хлорофилл NOW, Chlorophyll Liquid, 473 |Жидкий хлорофилл, 473 мл, аромат натуральной мяты NOW, Chlorophyll Liquid, 473 ml (16 fl. oz), Mint - очистка организма, защита от болезней, внутренняя свежесть и отличное самочувствие.
Хлорофилл NOW, Chlorophyll Liquid, 473 |Жидкий хлорофилл, 473 мл, аромат натуральной мяты NOW, Chlorophyll Liquid, 473 ml (16 fl. oz), Mint - очистка организма, защита от болезней, внутренняя свежесть и отличное самочувствие.
Оригинал Золотого тигра для Мужчин 8928 791 40 30
Показания к примененuю: ✅Низкий уровень тестостерона. ✅Простатuт, ✅Энурез, ✅ Частое мочеиспускаnие. ✅ Слабая потенцuя. Для лечения принимать три дня одну таблетку. В коробке 10 шт. Хватает на 30 дней. Курс лечения 2 Пачки
Новые пульсоксиметры Boxym. В наличии разные модели. Определяет уровень насыщения крови кислородом и ритмы сердцебиения
Новые пульсоксиметры Boxym. В наличии разные модели. Определяет уровень насыщения крови кислородом и ритмы сердцебиения
Лечение Пиявками и продажа, Хиджама, Капельницы, Уколы, Массаж (женский и детский)
Высококвалифицированный специалист с медицинским стажем 40 лет оказывает услуги: Гирудотерапия/лечение пиявками (в том числе - бесплодия), продажа пиявок. Хиджама, а также капельницы, внутривенные и внутримышечные инъекции и массаж: лечебный массаж, детский, спортивный, антицеллюлитный, корректирующий и т.д. Возможен выезд на дом. Медицинское образование, огромный стаж, повышение квалификации, специализации по гирудотерапии (пиявки), хиджаме и массажу, все это подтверждено дипломами, сертификатами, свидетельствами, грамотами, трудовой книжкой, которые вы можете увидеть в чистом и уютном кабинете, находящемся по улице Осканова, рядом со Сбербанком и Гимназией г. Назрань. В ватсапе не всегда
Лечение Пиявками и продажа, Хиджама, Капельницы, Уколы, Массаж (женский и детский)
Высококвалифицированный специалист с медицинским стажем 40 лет оказывает услуги: Гирудотерапия/лечение пиявками (в том числе - бесплодия), продажа пиявок. Хиджама, а также капельницы, внутривенные и внутримышечные инъекции и массаж: лечебный массаж, детский, спортивный, антицеллюлитный, корректирующий и т.д. Возможен выезд на дом. Медицинское образование, огромный стаж, повышение квалификации, специализации по гирудотерапии (пиявки), хиджаме и массажу, все это подтверждено дипломами, сертификатами, свидетельствами, грамотами, трудовой книжкой, которые вы можете увидеть в чистом и уютном кабинете, находящемся по улице Осканова, рядом со Сбербанком и Гимназией г. Назрань. В ватсапе не всегда
Гирудотерапия
Сейчас скидки! Высококвалифицированный специалист с медицинским стажем 40 лет оказывает услуги: • гирудотерапия/лечение пиявками (в том числе - бесплодия), • продажа пиявок • хиджама • капельницы, внутривенные и внутримышечные инъекции • массаж: лечебный массаж, детский, спортивный, антицеллюлитный, корректирующий и т.д. Возможен выезд на дом. Медицинское образование, огромный стаж, повышение квалификации, специализации по гирудотерапии (пиявки), хиджаме и массажу, все это подтверждено дипломами, сертификатами, свидетельствами, грамотами, трудовой книжкой, которые вы можете увидеть в чистом и уютном кабинете, находящемся по улице Осканова, рядом со Сбербанком и Гимназией г. Назрань. В
Лечение Пиявками и продажа, Хиджама, Капельницы, Уколы, Массаж (женский и детский)
Высококвалифицированный специалист с медицинским стажем 40 лет оказывает услуги: Гирудотерапия/лечение пиявками (в том числе - бесплодия), продажа пиявок. Хиджама, а также капельницы, внутривенные и внутримышечные инъекции и массаж: лечебный массаж, детский, спортивный, антицеллюлитный, корректирующий и т.д. Возможен выезд на дом. Медицинское образование, огромный стаж, повышение квалификации, специализации по гирудотерапии (пиявки), хиджаме и массажу, все это подтверждено дипломами, сертификатами, свидетельствами, грамотами, трудовой книжкой, которые вы можете увидеть в чистом и уютном кабинете, находящемся по улице Осканова, рядом со Сбербанком и Гимназией г. Назрань. В ватсапе не всегда
Лечение Пиявками и продажа, Хиджама, Капельницы, Уколы, Массаж (женский и детский)
Высококвалифицированный специалист с медицинским стажем 40 лет оказывает услуги: Гирудотерапия/лечение пиявками (в том числе - бесплодия), продажа пиявок. Хиджама, а также капельницы, внутривенные и внутримышечные инъекции и массаж: лечебный массаж, детский, спортивный, антицеллюлитный, корректирующий и т.д. Возможен выезд на дом. Медицинское образование, огромный стаж, повышение квалификации, специализации по гирудотерапии (пиявки), хиджаме и массажу, все это подтверждено дипломами, сертификатами, свидетельствами, грамотами, трудовой книжкой, которые вы можете увидеть в чистом и уютном кабинете, находящемся по улице Осканова, рядом со Сбербанком и Гимназией г. Назрань. В ватсапе не всегда
Диагностика без УЗИ и анализов!!! 89227704094
Внимание!! Цена 2тыс!! Только один раз в неделю! Полное обследование всего организма, без УЗИ и анализов! Диагностика позволяет выявить заболевания на ранней стадии и вовремя обратиться к нужному врачу!!!!! Прием проводит специалист, нутрицолог Алхоева Хава. Строго по записи. Идет запись на 14 мая!!! Тел: 8922 -770-40- 94. Адрес: г Назрань, ТД Назрань, проспект базоркина 57, напротив Авангарда, 4 этаж
Чи мет от ю ,хиджама массаж остеопат
Работаю с выездом на дом Кабинет находится в с п Троицкое улица шоссейная 11б
Лечение Пиявками и продажа, Хиджама, Капельницы, Уколы, Массаж (женский и детский)
Высококвалифицированный специалист с медицинским стажем 40 лет оказывает услуги: Гирудотерапия/лечение пиявками (в том числе - бесплодия), продажа пиявок. Хиджама, а также капельницы, внутривенные и внутримышечные инъекции и массаж: лечебный массаж, детский, спортивный, антицеллюлитный, корректирующий и т.д. Возможен выезд на дом. Медицинское образование, огромный стаж, повышение квалификации, специализации по гирудотерапии (пиявки), хиджаме и массажу, все это подтверждено дипломами, сертификатами, свидетельствами, грамотами, трудовой книжкой, которые вы можете увидеть в чистом и уютном кабинете, находящемся по улице Осканова, рядом со Сбербанком и Гимназией г. Назрань. В ватсапе не всегда
Лечение Пиявками и продажа, Хиджама, Капельницы, Уколы, Массаж (женский и детский)
Высококвалифицированный специалист с медицинским стажем 40 лет оказывает услуги: Гирудотерапия/лечение пиявками (в том числе - бесплодия), продажа пиявок. Хиджама, а также капельницы, внутривенные и внутримышечные инъекции и массаж: лечебный массаж, детский, спортивный, антицеллюлитный, корректирующий и т.д. Возможен выезд на дом. Медицинское образование, огромный стаж, повышение квалификации, специализации по гирудотерапии (пиявки), хиджаме и массажу, все это подтверждено дипломами, сертификатами, свидетельствами, грамотами, трудовой книжкой, которые вы можете увидеть в чистом и уютном кабинете, находящемся по улице Осканова, рядом со Сбербанком и Гимназией г. Назрань. В ватсапе не всегда
Болезнь бюргера или аблетирирующий эндартериит
Препараты для полного лечения этой болезни 89604320177
Лечение Пиявками и продажа, Хиджама, Капельницы, Уколы, Массаж (женский и детский)
Высококвалифицированный специалист с медицинским стажем 40 лет оказывает услуги: Гирудотерапия/лечение пиявками (в том числе - бесплодия), продажа пиявок. Хиджама, а также капельницы, внутривенные и внутримышечные инъекции и массаж: лечебный массаж, детский, спортивный, антицеллюлитный, корректирующий и т.д. Возможен выезд на дом. Медицинское образование, огромный стаж, повышение квалификации, специализации по гирудотерапии (пиявки), хиджаме и массажу, все это подтверждено дипломами, сертификатами, свидетельствами, грамотами, трудовой книжкой, которые вы можете увидеть в чистом и уютном кабинете, находящемся по улице Осканова, рядом со Сбербанком и Гимназией г. Назрань. В ватсапе не всегда
Лечение Пиявками и продажа, Хиджама, Капельницы, Уколы, Массаж (женский и детский)
Высококвалифицированный специалист с медицинским стажем 40 лет оказывает услуги: Гирудотерапия/лечение пиявками (в том числе - бесплодия), продажа пиявок. Хиджама, а также капельницы, внутривенные и внутримышечные инъекции и массаж: лечебный массаж, детский, спортивный, антицеллюлитный, корректирующий и т.д. Возможен выезд на дом. Медицинское образование, огромный стаж, повышение квалификации, специализации по гирудотерапии (пиявки), хиджаме и массажу, все это подтверждено дипломами, сертификатами, свидетельствами, грамотами, трудовой книжкой, которые вы можете увидеть в чистом и уютном кабинете, находящемся по улице Осканова, рядом со Сбербанком и Гимназией г. Назрань. В ватсапе не всегда
Лечение Пиявками и продажа, Хиджама, Капельницы, Уколы, Массаж (женский и детский)
Высококвалифицированный специалист с медицинским стажем 40 лет оказывает услуги: Гирудотерапия/лечение пиявками (в том числе - бесплодия), продажа пиявок. Хиджама, а также капельницы, внутривенные и внутримышечные инъекции и массаж: лечебный массаж, детский, спортивный, антицеллюлитный, корректирующий и т.д. Возможен выезд на дом. Медицинское образование, огромный стаж, повышение квалификации, специализации по гирудотерапии (пиявки), хиджаме и массажу, все это подтверждено дипломами, сертификатами, свидетельствами, грамотами, трудовой книжкой, которые вы можете увидеть в чистом и уютном кабинете, находящемся по улице Осканова, рядом со Сбербанком и Гимназией г. Назрань. В ватсапе не всегда
Набор от Швейцарского бренда Sealuxe
Нашумевший шикарный набор от Швейцарского бренда Sealuxe, оригинал , стоит намного дороже , продаю только из-за срочности и надобности в деньгах . Цена 12000 Строго пишите на вацап по одному из номеров (т. к не известные номера не беру) : 928 797 31 99 или 988 124 22 86
Лечение Пиявками и продажа, Хиджама, Капельницы, Уколы, Массаж (женский и детский)
Высококвалифицированный специалист с медицинским стажем 40 лет оказывает услуги: Гирудотерапия/лечение пиявками (в том числе - бесплодия), продажа пиявок. Хиджама, а также капельницы, внутривенные и внутримышечные инъекции и массаж: лечебный массаж, детский, спортивный, антицеллюлитный, корректирующий и т.д. Возможен выезд на дом. Медицинское образование, огромный стаж, повышение квалификации, специализации по гирудотерапии (пиявки), хиджаме и массажу, все это подтверждено дипломами, сертификатами, свидетельствами, грамотами, трудовой книжкой, которые вы можете увидеть в чистом и уютном кабинете, находящемся по улице Осканова, рядом со Сбербанком и Гимназией г. Назрань. В ватсапе не всегда
сок лопуха
свежий сок лопуха, разлит по соусницам, цена 1500, эликсир здоровья, особенно хорошо помогает рассосать миомы и кисты молочной железы. номер ватсапп: 89286989456 номер сотовый: 89888025308
Лечение Пиявками и продажа, Хиджама, Капельницы, Уколы, Массаж (женский и детский)
Высококвалифицированный специалист с медицинским стажем 40 лет оказывает услуги: Гирудотерапия/лечение пиявками (в том числе - бесплодия), продажа пиявок. Хиджама, а также капельницы, внутривенные и внутримышечные инъекции и массаж: лечебный массаж, детский, спортивный, антицеллюлитный, корректирующий и т.д. Возможен выезд на дом. Медицинское образование, огромный стаж, повышение квалификации, специализации по гирудотерапии (пиявки), хиджаме и массажу, все это подтверждено дипломами, сертификатами, свидетельствами, грамотами, трудовой книжкой, которые вы можете увидеть в чистом и уютном кабинете, находящемся по улице Осканова, рядом со Сбербанком и Гимназией г. Назрань. В ватсапе не всегда
Шампунь Medina Триоксидил 8928 791 40 30
Шампунь Medina Триоксидил 450 мл — эффективное средство для борьбы с выпадением волос, созданное на основе уникальной формулы Trioxidil. Этот шампунь подходит для всех типов волос и обеспечивает ежедневный уход без вредных добавок. ✨ Особенности: - ✅ Против выпадения волос — активные компоненты способствуют укреплению и росту волос. - ? Натуральные ингредиенты — содержит экстракты женьшеня и черного чеснока для питания волос. - ? pH 5.5 — поддерживает естественный баланс кожи головы. - ✨ Без SLS и парабенов — безопасный состав для ежедневного применения.
Кофе Для похудения Усиленая Формула из Турция оригинал 8928 791 40 30 звонить с 13:00 до 22:00
Кофе Для похудения Усиленая Формула из Турция оригинал 8928 791 40 30 звонить с 13:00 до 22:00
Оригинал Золотого тигра для Мужчин 8928 791 40 30
Показания к примененuю: ✅Низкий уровень тестостерона. ✅Простатuт, ✅Энурез, ✅ Частое мочеиспускаnие. ✅ Слабая потенцuя. Для лечения принимать три дня одну таблетку. В коробке 10 шт. Хватает на 30 дней. Курс лечения 2 Пачки
Набор веса до 10 кг за 30 дней. 8928 791 40 30
Набор веса до 10 кг за 30 дней. ✔️увеличивает пищеварительную способность ✔️улучшает использование питательных веществ ✔️улучшает естественную устойчивость организма к болезням 8928 791 40 30 звонить после 13:00 до 22:00
Похороны Саван для Мужчин и Женщин 8928 791 40 30 звоните с 13:00 до 22:00
Похороны Саван для Мужчин и Женщин 8928 791 40 30 звоните с 13:00 до 22:00
Лечение Пиявками и продажа, Хиджама, Капельницы, Уколы, Массаж (женский и детский)
Высококвалифицированный специалист с медицинским стажем 40 лет оказывает услуги: Гирудотерапия/лечение пиявками (в том числе - бесплодия), продажа пиявок. Хиджама, а также капельницы, внутривенные и внутримышечные инъекции и массаж: лечебный массаж, детский, спортивный, антицеллюлитный, корректирующий и т.д. Возможен выезд на дом. Медицинское образование, огромный стаж, повышение квалификации, специализации по гирудотерапии (пиявки), хиджаме и массажу, все это подтверждено дипломами, сертификатами, свидетельствами, грамотами, трудовой книжкой, которые вы можете увидеть в чистом и уютном кабинете, находящемся по улице Осканова, рядом со Сбербанком и Гимназией г. Назрань. В ватсапе не всегда
Выездная медсестра
Выезд медицинской сестры на дом Мы предлагаем услуги по постановке капельниц и выполнению инъекций на дому. Наши услуги доступны для взрослых и детей старше 5 лет. Стоимость услуг: Капельница: 600₽ Внутривенный или мышечный укол: 300₽ Выезд специалиста: по тарифу такси Контакты: Для вызова медицинской сестры или получения дополнительной информации, пожалуйста, свяжитесь с нами по телефону: +7965-411-07-52 Номер телефона привязан к WhatsApp.
Выездная медсестра
Медицинская сестра на дом: Капельницы и уколы для взрослых и детей (от 5 лет) Предлагаю услуги квалифицированной медицинской сестры с выездом на дом. Обеспечу профессиональное проведение: Капельниц (внутривенных инфузий) Внутримышечных инъекций Внутривенных инъекций Услуги доступны для взрослых и детей старше 5 лет. Стоимость услуг: Капельница: 600₽ Укол (внутривенно или внутримышечно): 300₽ Выезд: осуществляется по тарифу такси (оплата по счетчику). Запись и консультации по телефону: ? +7965-411-07-52 – Раяна (Номер телефона привязан к WhatsApp для вашего удобства) Обращайтесь! Забота о вашем здоровье – моя главная задача.
Лечение Пиявками и продажа, Хиджама, Капельницы, Уколы, Массаж (женский и детский)
Высококвалифицированный специалист с медицинским стажем 40 лет оказывает услуги: Гирудотерапия/лечение пиявками (в том числе - бесплодия), продажа пиявок. Хиджама, а также капельницы, внутривенные и внутримышечные инъекции и массаж: лечебный массаж, детский, спортивный, антицеллюлитный, корректирующий и т.д. Возможен выезд на дом. Медицинское образование, огромный стаж, повышение квалификации, специализации по гирудотерапии (пиявки), хиджаме и массажу, все это подтверждено дипломами, сертификатами, свидетельствами, грамотами, трудовой книжкой, которые вы можете увидеть в чистом и уютном кабинете, находящемся по улице Осканова, рядом со Сбербанком и Гимназией г. Назрань. В ватсапе не всегда
Лечение Пиявками и продажа, Хиджама, Капельницы, Уколы, Массаж (женский и детский)
Высококвалифицированный специалист с медицинским стажем 40 лет оказывает услуги: Гирудотерапия/лечение пиявками (в том числе - бесплодия), продажа пиявок. Хиджама, а также капельницы, внутривенные и внутримышечные инъекции и массаж: лечебный массаж, детский, спортивный, антицеллюлитный, корректирующий и т.д. Возможен выезд на дом. Медицинское образование, огромный стаж, повышение квалификации, специализации по гирудотерапии (пиявки), хиджаме и массажу, все это подтверждено дипломами, сертификатами, свидетельствами, грамотами, трудовой книжкой, которые вы можете увидеть в чистом и уютном кабинете, находящемся по улице Осканова, рядом со Сбербанком и Гимназией г. Назрань. В ватсапе не всегда
Золотой Тигр для мужчин 8928 791 40 30
Показания к примененuю: ✅Низкий уровень тестостерона. ✅Простатuт, ✅Энурез, ✅ Частое мочеиспускаnие. ✅ Слабая потенцuя. Для лечения принимать три дня одну таблетку. В коробке 10 шт. Хватает на 30 дней. Курс лечения 2 Пачки
Коляски инвалидные
Инвалидная коляска «новая в коробке» в наличии 2шт - комнатная и прогулочная 40.000₽ за обе 23.000₽ за одну +79165107808
Лечение Пиявками и продажа, Хиджама, Капельницы, Уколы, Массаж (женский и детский)
Высококвалифицированный специалист с медицинским стажем 40 лет оказывает услуги: Гирудотерапия/лечение пиявками (в том числе - бесплодия), продажа пиявок. Хиджама, а также капельницы, внутривенные и внутримышечные инъекции и массаж: лечебный массаж, детский, спортивный, антицеллюлитный, корректирующий и т.д. Возможен выезд на дом. Медицинское образование, огромный стаж, повышение квалификации, специализации по гирудотерапии (пиявки), хиджаме и массажу, все это подтверждено дипломами, сертификатами, свидетельствами, грамотами, трудовой книжкой, которые вы можете увидеть в чистом и уютном кабинете, находящемся по улице Осканова, рядом со Сбербанком и Гимназией г. Назрань. В ватсапе не всегда
Лечение Пиявками и продажа, Хиджама, Капельницы, Уколы, Массаж (женский и детский)
Высококвалифицированный специалист с медицинским стажем 40 лет оказывает услуги: Гирудотерапия/лечение пиявками (в том числе - бесплодия), продажа пиявок. Хиджама, а также капельницы, внутривенные и внутримышечные инъекции и массаж: лечебный массаж, детский, спортивный, антицеллюлитный, корректирующий и т.д. Возможен выезд на дом. Медицинское образование, огромный стаж, повышение квалификации, специализации по гирудотерапии (пиявки), хиджаме и массажу, все это подтверждено дипломами, сертификатами, свидетельствами, грамотами, трудовой книжкой, которые вы можете увидеть в чистом и уютном кабинете, находящемся по улице Осканова, рядом со Сбербанком и Гимназией г. Назрань. В ватсапе не всегда
Лечение Пиявками и продажа, Хиджама, Капельницы, Уколы, Массаж (женский и детский)
Высококвалифицированный специалист с медицинским стажем 40 лет оказывает услуги: Гирудотерапия/лечение пиявками (в том числе - бесплодия), продажа пиявок. Хиджама, а также капельницы, внутривенные и внутримышечные инъекции и массаж: лечебный массаж, детский, спортивный, антицеллюлитный, корректирующий и т.д. Возможен выезд на дом. Медицинское образование, огромный стаж, повышение квалификации, специализации по гирудотерапии (пиявки), хиджаме и массажу, все это подтверждено дипломами, сертификатами, свидетельствами, грамотами, трудовой книжкой, которые вы можете увидеть в чистом и уютном кабинете, находящемся по улице Осканова, рядом со Сбербанком и Гимназией г. Назрань. В ватсапе не всегда
инвалидная коляска в идеальном состоянии армед
В идеальном состоянии мало пользовались есть много функций коробка все имеется торг будет покупали на много дороже
Лечение Пиявками и продажа, Хиджама, Капельницы, Уколы, Массаж (женский и детский)
Высококвалифицированный специалист с медицинским стажем 40 лет оказывает услуги: Гирудотерапия/лечение пиявками (в том числе - бесплодия), продажа пиявок. Хиджама, а также капельницы, внутривенные и внутримышечные инъекции и массаж: лечебный массаж, детский, спортивный, антицеллюлитный, корректирующий и т.д. Возможен выезд на дом. Медицинское образование, огромный стаж, повышение квалификации, специализации по гирудотерапии (пиявки), хиджаме и массажу, все это подтверждено дипломами, сертификатами, свидетельствами, грамотами, трудовой книжкой, которые вы можете увидеть в чистом и уютном кабинете, находящемся по улице Осканова, рядом со Сбербанком и Гимназией г. Назрань. В ватсапе не всегда
Миноксидил 15% оригинальный продаю что на фото 8928 791 40 30 звонить после 13:00 до 22:00
Миноксидил 15% оригинальный продаю что на фото 8928 791 40 30 звонить после 13:00 до 22:00
Чудесный мед Оригинал из Турция Для Мужчин 8928 791 40 30 звонить 13:00 до 22:00
Чудесный мед Оригинал из Турция Для Мужчин 8928 791 40 30 звонить 13:00 до 22:00
Кофе Для похудения Усиленая Формула из Турция оригинал 8928 791 40 30 звонить с 13:00 до 22:00
Кофе Для похудения Усиленая Формула из Турция оригинал 8928 791 40 30 звонить с 13:00 до 22:00
Свежий Завоз Сок трюфели для Лечения Глазных Заболеваний 8928 791 40 30 звонить с 13:00 до 22:00
Свежий Завоз Сок трюфели для Лечения Глазных Заболеваний 8928 791 40 30 звонить с 13:00 до 22:00
Похороны Саван для Мужчин и Женщин 8928 791 40 30 звоните с 13:00 до 22:00
Похороны Саван для Мужчин и Женщин 8928 791 40 30 звоните с 13:00 до 22:00
Натуральный бальзам от ожогов, трещин, сухости и раздражения кожи
Натуральный бальзам для восстановления кожи по семейному рецепту. Помогает при: — ожогах — сухости и трещинах — раздражении и покраснении — зуде и шелушении Эффект: ✔ снимает жжение и зуд ✔ ускоряет заживление ✔ смягчает и увлажняет кожу Состав: пчелиный воск, не рафинированное подсолнечное масло, яичный желток. Без химии и добавок. Делаю вручную небольшими партиями Первая партия отдам за 600р. В наличии ограничено По вопросам пишите на WhatsApp 8989-917-82-94
Смесь коклюш. От бронхолегочных заболеваний
Натуральная смесь Коклюш для детей и взрослых! Состав: ✅Козий жир ✅Гусиный жир ✅Натуральный прополис ✅Живица сосны ✅Натуральный мед ✅Сок алоэ. ПРИМЕНЕНИЕ: Детям с 2 месяцев по одной капле /3 раза в день после еды. Детям с 3 месяцев по 3 капли /3 раза в день. Детям с 6 месяцев по 5 капель /3 раза в день. После еды! Детям с года по пол чайной ложке /3 раза в день, Взрослые по чайной ложке /3 раза в день до еды в течении месяца, Запить отваром шиповника, Курс 1 месяц перерыв /2 недели и так в год 2, 3 курса лечения . ПРОТИВОПОКАЗАНИЯ: - Цирроз печени - Аллергия на мёд. Объем: 250 гр. Цена : 1800₽
Набор веса до 10 кг за 30 дней
Набор веса до 10 кг за 30 дней. ✔️увеличивает пищеварительную способность ✔️улучшает использование питательных веществ ✔️улучшает естественную устойчивость организма к болезням ✔️Увеличение веса без накопления избыточного жира ✔️усиление пищеварительной силы ✔️успокаивание нервов ✔️приводит к постепенному развитию сильных мышц и идеального телосложения.
Шампунь с триоксидилом для укрепления и роста волос
Шампунь Medina Триоксидил 450 мл — эффективное средство для борьбы с выпадением волос, созданное на основе уникальной формулы Trioxidil. Этот шампунь подходит для всех типов волос и обеспечивает ежедневный уход без вредных добавок. ✨ Особенности: - ✅ Против выпадения волос — активные компоненты способствуют укреплению и росту волос. - ? Натуральные ингредиенты — содержит экстракты женьшеня и черного чеснока для питания волос. - ? pH 5.5 — поддерживает естественный баланс кожи головы. - ✨ Без SLS и парабенов — безопасный состав для ежедневного применения.
Лечение Пиявками и продажа, Хиджама, Капельницы, Уколы, Массаж (женский и детский)
Высококвалифицированный специалист с медицинским стажем 40 лет оказывает услуги: Гирудотерапия/лечение пиявками (в том числе - бесплодия), продажа пиявок. Хиджама, а также капельницы, внутривенные и внутримышечные инъекции и массаж: лечебный массаж, детский, спортивный, антицеллюлитный, корректирующий и т.д. Возможен выезд на дом. Медицинское образование, огромный стаж, повышение квалификации, специализации по гирудотерапии (пиявки), хиджаме и массажу, все это подтверждено дипломами, сертификатами, свидетельствами, грамотами, трудовой книжкой, которые вы можете увидеть в чистом и уютном кабинете, находящемся по улице Осканова, рядом со Сбербанком и Гимназией г. Назрань. В ватсапе не всегда
Правка живота хиджама массаж остеопат
? Предоставляются следующие услуги ?дипломированного специалиста для мужчин и детей ?Правка живота ?Хиджама любой сложности ?Массаж Юмейхо (костоправ) ? Мануальная терапия ? Классический массаж ?Остеопатия ? Лимфодринажный массаж тела ?Глубоко -тканный массаж тела ? Моделирующий массаж ?Прием по предварительной записи wa.me/9287306380 https://www.instagram.com/invites/contact/?i=dpayhcfxeow0&utm_content=ncjb7ba ? Также осуществляется выезд на дом ? Наш адрес с п Троицкое ул. Шоссейная 11б
Лечение Пиявками и продажа, Хиджама, Капельницы, Уколы, Массаж (женский и детский)
Высококвалифицированный специалист с медицинским стажем 40 лет оказывает услуги: Гирудотерапия/лечение пиявками (в том числе - бесплодия), продажа пиявок. Хиджама, а также капельницы, внутривенные и внутримышечные инъекции и массаж: лечебный массаж, детский, спортивный, антицеллюлитный, корректирующий и т.д. Возможен выезд на дом. Медицинское образование, огромный стаж, повышение квалификации, специализации по гирудотерапии (пиявки), хиджаме и массажу, все это подтверждено дипломами, сертификатами, свидетельствами, грамотами, трудовой книжкой, которые вы можете увидеть в чистом и уютном кабинете, находящемся по улице Осканова, рядом со Сбербанком и Гимназией г. Назрань. В ватсапе не всегда
Медсестра с выездом на дом звонить строго сюда
Ставлю капельницы делаю уколы устанавливаю периферический катетер установка мочевого катетера звонить строго сюда 89236560106
Лечение Пиявками и продажа, Хиджама, Капельницы, Уколы, Массаж (женский и детский)
Высококвалифицированный специалист с медицинским стажем 40 лет оказывает услуги: Гирудотерапия/лечение пиявками (в том числе - бесплодия), продажа пиявок. Хиджама, а также капельницы, внутривенные и внутримышечные инъекции и массаж: лечебный массаж, детский, спортивный, антицеллюлитный, корректирующий и т.д. Возможен выезд на дом. Медицинское образование, огромный стаж, повышение квалификации, специализации по гирудотерапии (пиявки), хиджаме и массажу, все это подтверждено дипломами, сертификатами, свидетельствами, грамотами, трудовой книжкой, которые вы можете увидеть в чистом и уютном кабинете, находящемся по улице Осканова, рядом со Сбербанком и Гимназией г. Назрань. В ватсапе не всегда
Лечение Пиявками и продажа, Хиджама, Капельницы, Уколы, Массаж (женский и детский)
Высококвалифицированный специалист с медицинским стажем 40 лет оказывает услуги: Гирудотерапия/лечение пиявками (в том числе - бесплодия), продажа пиявок. Хиджама, а также капельницы, внутривенные и внутримышечные инъекции и массаж: лечебный массаж, детский, спортивный, антицеллюлитный, корректирующий и т.д. Возможен выезд на дом. Медицинское образование, огромный стаж, повышение квалификации, специализации по гирудотерапии (пиявки), хиджаме и массажу, все это подтверждено дипломами, сертификатами, свидетельствами, грамотами, трудовой книжкой, которые вы можете увидеть в чистом и уютном кабинете, находящемся по улице Осканова, рядом со Сбербанком и Гимназией г. Назрань. В ватсапе не всегда
Продам подгузники для взрослых
Продам подгузники для взрослых SENSO MED Standard Plus. Упаковка целая. Размер 70-120 см (размер М) Звонить по телефону: 89187983323
Принимаю заказы на сок майского лопуха
Занимаюсь этим уже 5-6 лет, свою работу знаю,сок добывается чисто Аллах свидетель! Сок добывается строго с 1 по 14 мая!
Оригинал Золотой Тигр для Мужчин 8928 791 40 30
Показания к примененuю: ✅Низкий уровень тестостерона. ✅Простатuт, ✅Энурез, ✅ Частое мочеиспускаnие. ✅ Слабая потенцuя. Для лечения принимать три дня одну таблетку. В коробке 10 шт. Хватает на 30 дней. Курс лечения 2 Пачки
Лечение Пиявками и продажа, Хиджама, Капельницы, Уколы, Массаж (женский и детский)
Высококвалифицированный специалист с медицинским стажем 40 лет оказывает услуги: Гирудотерапия/лечение пиявками (в том числе - бесплодия), продажа пиявок. Хиджама, а также капельницы, внутривенные и внутримышечные инъекции и массаж: лечебный массаж, детский, спортивный, антицеллюлитный, корректирующий и т.д. Возможен выезд на дом. Медицинское образование, огромный стаж, повышение квалификации, специализации по гирудотерапии (пиявки), хиджаме и массажу, все это подтверждено дипломами, сертификатами, свидетельствами, грамотами, трудовой книжкой, которые вы можете увидеть в чистом и уютном кабинете, находящемся по улице Осканова, рядом со Сбербанком и Гимназией г. Назрань. В ватсапе не всегда
Похороны Саван для Мужчин и Женщин 8928 791 40 30 звоните с 13:00 до 22:00
Похороны Саван для Мужчин и Женщин 8928 791 40 30 звоните с 13:00 до 22:00
Набор веса до 10 кг за 30 дней. ✔️увеличивает пищеварительную способность ✔️улучшает использование питательных веществ ✔️улучшает естественную устойчивость организма к болезням 8928 791 40 30 звонить после 13:00 до 22:00
Набор веса до 10 кг за 30 дней. ✔️увеличивает пищеварительную способность ✔️улучшает использование питательных веществ ✔️улучшает естественную устойчивость организма к болезням 8928 791 40 30 звонить после 13:00 до 22:00
Дешевле чем в аптеке
Продам лекарства, купили две недели назад, но не пригодились: Тестивелл, гонадотропин, фомидан. Продам дешевле чем покупала.
Лечение Пиявками и продажа, Хиджама, Капельницы, Уколы, Массаж (женский и детский)
Высококвалифицированный специалист с медицинским стажем 40 лет оказывает услуги: Гирудотерапия/лечение пиявками (в том числе - бесплодия), продажа пиявок. Хиджама, а также капельницы, внутривенные и внутримышечные инъекции и массаж: лечебный массаж, детский, спортивный, антицеллюлитный, корректирующий и т.д. Возможен выезд на дом. Медицинское образование, огромный стаж, повышение квалификации, специализации по гирудотерапии (пиявки), хиджаме и массажу, все это подтверждено дипломами, сертификатами, свидетельствами, грамотами, трудовой книжкой, которые вы можете увидеть в чистом и уютном кабинете, находящемся по улице Осканова, рядом со Сбербанком и Гимназией г. Назрань. В ватсапе не всегда
Смесь коклюш. От бронхо лёгочных заболеваний
Натуральная смесь Коклюш для детей и взрослых! Состав: ✅Козий жир ✅Гусиный жир ✅Натуральный прополис ✅Живица сосны ✅Натуральный мед ✅Сок алоэ. ПРИМЕНЕНИЕ: Детям с 2 месяцев по одной капле /3 раза в день после еды. Детям с 3 месяцев по 3 капли /3 раза в день. Детям с 6 месяцев по 5 капель /3 раза в день. После еды! Детям с года по пол чайной ложке /3 раза в день, Взрослые по чайной ложке /3 раза в день до еды в течении месяца, Запить отваром шиповника, Курс 1 месяц перерыв /2 недели и так в год 2, 3 курса лечения . ПРОТИВОПОКАЗАНИЯ: - Цирроз печени - Аллергия на мёд. Объем: 250 гр. Цена : 1800₽
Шампунь триоксидил. Для роста волос и бороды
Шампунь Medina Триоксидил 450 мл — эффективное средство для борьбы с выпадением волос, созданное на основе уникальной формулы Trioxidil. Этот шампунь подходит для всех типов волос и обеспечивает ежедневный уход без вредных добавок. ✨ Особенности: - ✅ Против выпадения волос — активные компоненты способствуют укреплению и росту волос. - ? Натуральные ингредиенты — содержит экстракты женьшеня и черного чеснока для питания волос. - ? pH 5.5 — поддерживает естественный баланс кожи головы. - ✨ Без SLS и парабенов — безопасный состав для ежедневного применения.
Электро-апукунктура
Иглорефлексотерапия назначается при различных заболеваниях и состояниях. Некоторые из них: патологии опорно-двигательного аппарата (артрит, артроз,); головные боли,остеохондроз, хондроз, протрузия шейного отдела позвоночника и грыжи позвоночника
Лечение Пиявками и продажа, Хиджама, Капельницы, Уколы, Массаж (женский и детский)
Высококвалифицированный специалист с медицинским стажем 40 лет оказывает услуги: Гирудотерапия/лечение пиявками (в том числе - бесплодия), продажа пиявок. Хиджама, а также капельницы, внутривенные и внутримышечные инъекции и массаж: лечебный массаж, детский, спортивный, антицеллюлитный, корректирующий и т.д. Возможен выезд на дом. Медицинское образование, огромный стаж, повышение квалификации, специализации по гирудотерапии (пиявки), хиджаме и массажу, все это подтверждено дипломами, сертификатами, свидетельствами, грамотами, трудовой книжкой, которые вы можете увидеть в чистом и уютном кабинете, находящемся по улице Осканова, рядом со Сбербанком и Гимназией г. Назрань. В ватсапе не всегда
Лечение Пиявками и продажа, Хиджама, Капельницы, Уколы, Массаж (женский и детский)
Высококвалифицированный специалист с медицинским стажем 40 лет оказывает услуги: Гирудотерапия/лечение пиявками (в том числе - бесплодия), продажа пиявок. Хиджама, а также капельницы, внутривенные и внутримышечные инъекции и массаж: лечебный массаж, детский, спортивный, антицеллюлитный, корректирующий и т.д. Возможен выезд на дом. Медицинское образование, огромный стаж, повышение квалификации, специализации по гирудотерапии (пиявки), хиджаме и массажу, все это подтверждено дипломами, сертификатами, свидетельствами, грамотами, трудовой книжкой, которые вы можете увидеть в чистом и уютном кабинете, находящемся по улице Осканова, рядом со Сбербанком и Гимназией г. Назрань. В ватсапе не всегда
Био Мед Оригинал из Малайзия Для Мужчин 8928 791 40 30 звонить 13:00 до 22:00
Био Мед Оригинал из Малайзия Для Мужчин 8928 791 40 30 звонить 13:00 до 22:00

